Science, Simplified

Easy-to-read posts breaking down complex scientific concepts, research findings and healthcare topics for a general audience.

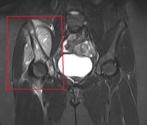
Unseen Battles: Exploring Ewing Sarcoma Through Science and Storytelling

“Not all cancers wear a pink ribbon.”This was the line that opened my presentation on Ewing Sarcoma, a rare and aggressive bone cancer that predominantly affects children and adolescents. As part of an academic seminar I helped organize for our Biomedical Science class, we explored different rare diseases and presented them from multiple angles — pathology, treatment, patient experience and research gaps. I chose Ewing Sarcoma not just for its medical complexity, but for the silence that often s...

Unveiling Natural Solutions: Investigating the Antimicrobial Potential of Thyme Oil, Peppermint Oil…

In the fight against the rising threat of antimicrobial resistance (AMR) and multidrug-resistant (MDR) pathogens, our reliance on conventional antibiotics is becoming increasingly problematic. The reality is stark: bacteria are evolving and many antibiotics are failing. This urgency drove my two-month-long postgraduate research project, where I explored the individual and combined antimicrobial properties of thyme oil, peppermint oil and gold ions against Klebsiella pneumoniae — a notorious, opp...

Aspergillosis Simplified: Communicating Complex Science to Everyday People

When I began designing a 2-page brochure on Allergic Bronchopulmonary Aspergillosis (ABPA) as a part of my Postgraduate academic coursework, my goal was not just to present medical information, but to bridge a crucial knowledge gap for the general public. Despite its severity, ABPA remains a relatively unknown condition. I wanted to change that — by designing an informative, visually engaging and accessible brochure that communicates the condition clearly to people without a medical background.A...

Bridging Non-clinical to Clinical: How IBs Translate Preclinical PK/PD into Human Risk Assessments

In the highly regulated and ethically sensitive landscape of drug development, the transition from non-clinical to clinical phases represents a critical juncture. At the heart of this transition is the Investigator’s Brochure (IB), a living document that serves as the scientific backbone for investigators conducting clinical trials. Far from being a mere formality, the IB plays a pivotal role in integrating preclinical pharmacokinetics (PK), pharmacodynamics (PD) and toxicology data into coheren...

Regulatory Writing

Formal, precise documents that follow regulatory standards - including clinical study documentation, summaries and reports.